2025年11月より、1日で完結するセレック1DAYセラミック治療をご提供できるようになりました
従来の治療法では歯の型取りをしてから、かぶせものが入るまで1週間程かかりましたが、
1DAYセラミック治療では歯を削ってから その日のうちにかぶせものが入ります
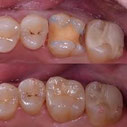
金属の被せものは歯との間に隙間ができやすく、歯としっかり接着しない材料のため、
2次虫歯が多く発生しやすい材料の1つです
一見問題なく入っているように見えても、金属を外してみると中の歯質が虫歯になっていることが多いのです
そのため現在当医院では金属を使用する治療は特別な症例を除いて行っておりません
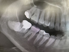
金属はレントゲンで撮影すると真っ白く写るので、
金属の下の虫歯の発見が困難で、手遅れになる可能性があります
セラミックれあればレントゲンで観察可能なので手遅れになる可能性は限りなくゼロにすることができます
プラスチックの詰め物
(コンポジットレジン)
5.2年
金属の詰め物
(インレー)
5.4年
金属の被せもの
(クラウン)
7.1年
ブリッジ
8.0年
プラスチックの詰め物
(CAD/CAM)
5.9年
セラミック
20年
虫歯治療を繰り返すことで、歯を失うリスクが高くなります
虫歯治療は歯を削る治療のため、1回目の治療よりも2回目の治療の方が大きく歯を削ることになり、治療を繰り返すたびに健康な歯質は小さくなっていきます
虫歯治療を繰り返すと虫歯菌の感染は歯の神経に到達します
こうなると詰め物や被せもをする治療では対応できないため、歯の神経を抜く治療が必要になります
神経を抜いた歯は時間とともに脆くなり、最終的には抜歯になってしまいます
耐用年数の低い保険治療の繰り返しは、生涯医療費が多くなることも分かっています
歯を失わないために重要なのは、ご自身のケアや定期健診もそうですが
長持ちする詰め物や被せもので治療して、再治療を繰り返し行わないことではないでしょうか
セレックシステムで詰め物や被せものを院内で即座に作成するため、1時間~1時間半で治療が終了します
従来のように型取りから完成まで1~2週間かかることがありませんので、患者様は複数回の通院が不要になります
忙しい方でも負担の少ない治療です
通常被せものをする時は、象牙質の深さまで歯を削ります
削った後は仮蓋をして被せものができるまでお過ごしいただきますが、象牙質は「象牙細管」という細い管で神経とつながっているため、仮蓋の隙間からお口の中の細菌が神経に感染することが分かっています
1DAYセラミック治療では、削った後、仮ふたをして過ごしていただく期間が無いため、
歯の神経へ細菌が感染するリスクを大幅に減少させることができ、術後の不快症状を抑えることが可能です
精密な光学カメラでお口の中を撮影するので、従来の粘土のような型取り材の変形がなく、
高精度な詰め物、被せものを作製することができます
詰め物と被せものの間に隙間がないため、2次虫歯を防ぐことができます
規格化された高品質なセラミックブロックを使用するため、天然の歯に近い透明感を見た目の美しさが実現でき、長期間きれいさが続きます